뇌동맥류는 뇌혈관의 일부가 약해져 풍선처럼 부풀어 오르는 질환으로, 파열 시 생명을 위협하는 뇌출혈로 이어질 수 있습니다. 이러한 위험을 예방하기 위해 조기 진단과 적절한 치료가 중요합니다. 이번 글에서는 뇌동맥류의 증상, 진단을 위한 조영술 검사, 그리고 치료 방법 중 하나인 코일색전술에 대해 알아보겠습니다.



뇌동맥류의 증상



뇌동맥류는 파열 여부에 따라 증상이 다르게 나타납니다.
뇌동맥류는 파열 여부에 따라 비파열성의 경우 두통, 시각 변화, 안검하수 등 경미한 증상이 나타날 수 있고, 파열성의 경우 갑작스러운 극심한 두통, 구토, 의식 저하 등 응급 상황을 초래합니다. 증상이 나타날 경우 즉시 의료기관을 방문하여 정밀 검사와 적절한 치료를 받아야 합니다.
뇌동맥류 상세 증상 | 코일색전술 단점 | 코일색전술 비용 정보 등
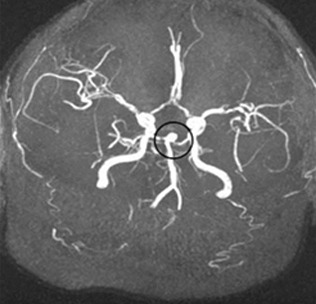
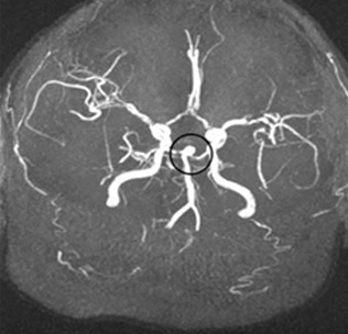
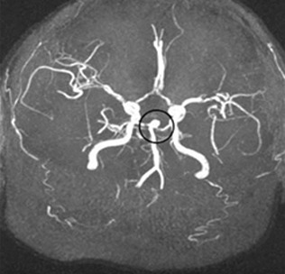
뇌동맥류의 진단: 조영술 검사



뇌동맥류를 정확하게 진단하기 위해서는 뇌혈관의 상태를 상세히 확인할 수 있는 검사가 필요합니다. 그 중 하나가 뇌혈관 조영술입니다.
뇌혈관 조영술이란?
뇌혈관 조영술은 대퇴동맥을 통해 카테터라는 2mm 내외의 관을 삽입한 후 조영제를 주입하고 X-ray를 촬영하여 뇌혈관의 상태를 파악하는 검사입니다. 이 검사는 뇌동맥류, 뇌혈관 협착, 뇌동정맥 기형 등의 진단에 매우 정확하며, 치료 계획을 세우는 데 필수적입니다.
검사 과정
- 준비: 검사 전날 혹은 당일에 입원하며, 조영제에 대한 알레르기 유무를 확인하고 6시간 전부터 금식이 필요합니다.
- 카테터 삽입: 대퇴동맥을 통해 카테터를 삽입하여 원하는 뇌혈관 부위까지 이동시킵니다.
- 조영제 주입 및 촬영: 조영제를 주입하면서 X-ray 촬영을 진행하여 뇌혈관의 상세한 영상을 얻습니다.
- 마무리: 검사 후 카테터를 제거하고 삽입 부위를 지혈합니다.
검사 시간은 약 1~2시간 정도 소요되며, 검사 후에는 일정 기간 동안 안정을 취해야 합니다.
뇌동맥류의 치료: 코일색전술



뇌동맥류의 치료 방법 중 하나로 코일색전술이 있습니다.
뇌동맥류 코일색전술 등 치료를 위한 수술은 건강보험공단에서 지원하는 의료비 지원제도인 산정특례제도에 포함이 되어 환자의 부담을 덜어 줍니다.
암 환자 산정특례제도 상세 | 간병비 보조기기 구입비 지원 | 산정특례 신청 및 재등록 방법 등
코일색전술이란?
코일색전술은 뇌를 열지 않고 혈관 내에서 동맥류를 치료하는 방법으로, 대퇴동맥을 통해 삽입한 카테터를 이용하여 동맥류 내부에 백금 코일을 채워 혈류를 차단하는 시술입니다. 이를 통해 동맥류의 파열을 방지할 수 있습니다.
시술 과정
- 준비: 전신마취를 시행합니다.
- 카테터 삽입: 대퇴동맥을 통해 카테터를 삽입하여 동맥류 부위까지 이동시킵니다.
- 코일 삽입: 카테터를 통해 백금 코일을 동맥류 내부에 채워 넣습니다.
- 마무리: 코일 삽입이 완료되면 카테터를 제거하고 삽입 부위를 지혈합니다.
시술 시간은 약 1~2시간 정도 소요되며, 시술 후에는 중환자실에서 경과를 관찰합니다.
코일색전술의 장점
- 비침습적: 머리를 열지 않으므로 회복이 빠르고 흉터가 남지 않습니다.
- 짧은 입원 기간: 일반적으로 2~4일 정도의 입원 기간이 필요합니다.
- 빠른 일상 복귀: 시술 후 비교적 빠르게 일상생활로 복귀할 수 있습니다.
주의사항
코일색전술은 모든 뇌동맥류에 적용할 수 있는 것은 아니며, 동맥류의 위치, 크기, 모양, 환자의 전반적인 건강 상태 등을 종합적으로 고려해야 합니다. 또한, 시술 후 정기적인 추적 검사가 필요합니다. 코일이 제대로 자리 잡고 있는지, 재발 가능성이 없는지를 확인하기 위해 CT 또는 MRI를 통한 검사가 주기적으로 시행됩니다.
코일색전술과 개두술의 비교



코일색전술은 뇌를 열지 않고 시행되는 비침습적 시술로, 회복이 빠르고 입원 기간이 짧은 장점이 있습니다. 반면, **개두술(클립 결찰술)**은 두개골을 열고 동맥류의 목 부분에 클립을 장착하여 혈류를 차단하는 수술입니다. 개두술은 동맥류 파열 방지에 매우 효과적이며, 재발 가능성이 적은 편입니다.
두 치료법의 선택 기준
- 코일색전술:
- 동맥류가 뇌 깊은 곳에 위치하거나 개두술이 어려운 경우
- 환자가 고령이거나 전신마취에 대한 위험이 높은 경우
- 동맥류의 크기가 작고 목이 넓지 않은 경우
- 개두술(클립 결찰술):
- 동맥류가 크고 목이 넓은 경우
- 코일색전술이 효과적이지 않거나 실패한 경우
- 재발 가능성을 완전히 차단하고자 하는 경우
치료법의 선택은 의료진과 충분한 상담 후 결정하며, 환자의 상태와 동맥류의 특성을 고려하여 최선의 방법을 선택해야 합니다.
뇌동맥류는 초기 증상이 없거나 경미할 수 있어 조기 발견이 어렵지만, 파열 시 치명적인 결과를 초래할 수 있습니다. 따라서 정기적인 검진과 예방적인 생활습관 개선이 필수적입니다.
진단을 위한 조영술 검사와 치료 방법 중 하나인 코일색전술은 현대 의료 기술의 발전으로 환자들에게 효과적이고 안전한 치료 옵션을 제공합니다. 자신의 상태에 맞는 치료법을 선택하고, 치료 후에도 꾸준한 관리와 예방을 통해 뇌혈관 건강을 유지하시기 바랍니다. 뇌동맥류와 관련된 모든 의심 증상이 있다면 지체하지 말고 전문가의 상담을 받는 것이 가장 중요합니다.
'일상다반사' 카테고리의 다른 글
| 사망자 금융거래조회 기간[사망자 금융거래내역조회] (0) | 2024.12.04 |
|---|---|
| 산업안전산업기사 응시자격 시험일정 (1) | 2024.12.03 |
| 뇌동맥류 수술 뇌동맥류 증상 혜택 (1) | 2024.12.03 |
| 교육급여 바우처 신청 신청자격 (1) | 2024.12.03 |
| 교육급여 바우처 사용처 신청 누리집 (0) | 2024.12.03 |