반응형
췌장암 검사방법 및 의료비 지원제도에 대해서 알아보겠습니다.
췌장암은 초기 발견이 어려워 고위험 질환 중 하나로 꼽히며, 조기 검사가 중요한 질환입니다. 췌장암을 조기에 발견하면 치료 성공 가능성이 높아지므로, 관련 검사를 숙지하고 정기적으로 검진받는 것이 중요합니다. 본 글에서는 췌장암 검사 방법과 암 환자를 위한 의료비 치료비 지원 제도에 대해 자세히 살펴보겠습니다.



1. 췌장암 검사방법



췌장암의 조기 발견은 치료 성공률을 높이는 중요한 요소입니다. 하지만 췌장은 몸 깊숙이 위치해 있어 초기에는 증상이 거의 나타나지 않아 발견이 어려운 경우가 많습니다. 췌장암을 진단하기 위해 사용되는 주요 검사 방법은 다음과 같습니다.
췌장암 종류 | 초기증상 상세 | 암환자 치료비 지원 사업 등 정보
- 혈액 검사
혈액 검사는 가장 기본적인 검사로, 암 표지자를 확인하여 췌장암의 가능성을 평가할 수 있습니다. CA 19-9와 같은 특정 암 표지자의 수치를 통해 췌장암 발생 가능성을 예측합니다. 높은 수치가 나오면 추가 검사를 통해 진단을 내리게 됩니다. - 초음파 검사
초음파 검사는 비교적 간편하게 췌장 상태를 확인할 수 있는 방법입니다. 복부 초음파를 통해 췌장 부위에 비정상적인 변화가 있는지 확인할 수 있으며, 방사선을 사용하지 않아 안전한 검사 방법으로 평가됩니다. - CT 및 MRI
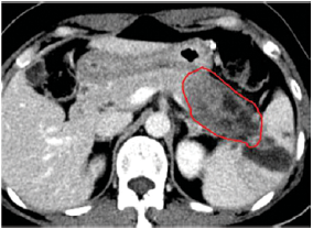
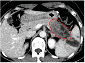
CT와 MRI는 췌장암 진단에 있어 매우 중요한 영상 진단법입니다. 특히 CT는 췌장 내 종양의 위치와 크기를 명확하게 파악할 수 있어 초기 진단과 치료 계획에 도움을 줍니다. - 내시경 초음파(EUS)
내시경 초음파는 내시경을 통해 췌장 근처에서 고해상도 초음파 영상을 얻는 정밀한 검사입니다. 일반 초음파로 확인하기 어려운 작은 종양을 발견하는 데 유용하여, 췌장암 조기 진단에 중요한 역할을 합니다. - 조직검사
조직검사는 암의 확진을 위해 종양의 세포 조직을 채취하여 분석하는 검사입니다. 췌장암 확진에 가장 결정적인 역할을 하며, 다른 검사에서 발견된 이상 조직을 확인하는 데 사용됩니다.
2. 암 환자를 위한 의료비 지원 제도
암 치료는 장기적인 치료와 비용이 소요되므로 환자와 가족에게 경제적 부담이 큽니다. 이에 정부는 암 환자들의 부담을 덜기 위해 다양한 의료비 지원 제도를 운영하고 있습니다.
암 환자 산정특례제도 상세 | 간병비 보조기기 구입비 지원 | 산정특례 신청 및 재등록 방법 등
- 건강보험 적용 확대
한국의 건강보험은 암 환자의 치료를 위한 다양한 항목에 적용됩니다. 특히 항암치료 및 입원 비용에 대해 상당한 보장을 받을 수 있습니다. - 중증질환 산정특례
중증질환 산정특례 제도를 통해 췌장암과 같은 중증 질환에 대해 본인 부담 비율이 5%로 경감됩니다. 이 제도는 진단받은 날부터 5년간 적용됩니다. - 국민건강보험공단의 지원 프로그램
국민건강보험공단에서는 암 환자의 치료 비용 지원을 위한 프로그램을 운영하며, 소득 수준에 따라 일부 비용이 추가 지원될 수 있습니다. - 지자체별 지원 프로그램
각 지방자치단체에서도 암 환자를 위한 의료비 지원 프로그램을 운영하고 있어 거주지에 맞는 지원 혜택을 받을 수 있습니다. 지역마다 지원 내용이 상이하므로 해당 시청이나 구청에 문의해 보는 것이 좋습니다. - 사회복지 서비스
한국에서는 암 환자를 위한 다양한 사회복지 서비스가 제공됩니다. 한국암재단과 같은 비영리 단체에서는 저소득층 암 환자에게 의료비 지원 및 심리적 지원을 제공하는 프로그램을 운영 중입니다.
췌장암은 조기 발견과 치료가 중요한 질환으로, 정기적인 검진과 함께 국가와 지자체의 다양한 의료비 지원 혜택을 적극 활용하는 것이 중요합니다.












반응형
'일상다반사' 카테고리의 다른 글
| 대장암 초기증상 대장암 3기 생존율 (5) | 2024.11.10 |
|---|---|
| 위암 초기증상 혜택 (4) | 2024.11.09 |
| 여권 재발급 온라인 신청(여권 재발급 준비물 온라인 신청 기간) (1) | 2024.11.07 |
| 알리페이 가입방법 사용방법(알리페이 카드등록) (3) | 2024.11.07 |
| 당뇨병 초기증상과 당뇨병 지원제도 (3) | 2024.11.07 |