폐암은 조기에 발견하지 않으면 치료가 어려워 생존율이 낮은 암 중 하나입니다. 그러나 초기 증상을 인지하고 검사를 통해 조기에 발견하면 치료 가능성이 높아집니다. 폐암 초기 증상과 검사 방법을 알아두어 조기 진단의 중요성을 강조하고, 건강을 지키는 방법을 소개해드리겠습니다.



1. 폐암 초기 증상



폐암 초기에는 특별한 증상이 없거나 감기와 비슷한 가벼운 증상으로 시작되기 때문에 놓치기 쉽습니다. 초기 증상을 빨리 알아차리는 것이 중요한데, 다음과 같은 증상이 나타난다면 전문 의료진과의 상담이 필요합니다.
- 기침: 지속적인 기침이 발생하거나 기침의 강도와 빈도가 증가합니다. 특히, 기침할 때 피가 섞여 나오면 조기 검진이 필요합니다.
- 호흡 곤란: 일상적인 활동 중에도 호흡이 어려워지거나 숨이 가빠지는 경우 폐 기능의 이상을 의심해야 합니다.
- 흉통: 가슴에 통증이 느껴지며 특히 숨을 깊게 들이쉬거나 기침을 할 때 통증이 심해지는 경우가 많습니다.
- 체중 감소 및 피로: 특별한 이유 없이 급격하게 체중이 감소하거나 만성적인 피로감이 계속되는 경우가 있습니다.
이 외에도 폐암 초기에는 목소리가 변하거나, 목에 이물감이 느껴질 수 있으며, 감기 증상이 반복되는 경향이 있습니다. 이러한 증상을 장기간 방치하면 병이 진행될 수 있으므로 주의해야 합니다.
암환자를 위한 보건복지부 및 건강보험공단의 의료비 및 치료비 지원제도가 있으니, 증상이 의심이 된다면 부담을 갖지 마시고 바로 검사를 해보시기 바랍니다.
성인, 소인 각각의 지원 대상, 금액 및 지원 항목 등 정보
2. 폐암 검사 방법



폐암 검사는 다양한 방법으로 이루어지며, 조기 발견을 위한 정기적인 검사가 중요합니다. 여기에서는 주요 검사 방법에 대해 설명하겠습니다.
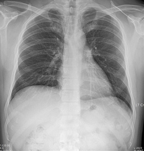
- 흉부 X선 검사: 가장 기본적인 검사로, 흉부에 X선을 투과시켜 폐에 있는 이상 소견을 확인합니다. 그러나 초기 폐암은 X선에서 발견되지 않을 수 있어 추가 검사가 필요할 수 있습니다.
- 저선량 CT 검사: 조기 폐암 발견을 위해 권장되는 검사로, 방사선 노출을 최소화하면서 폐 내부의 미세한 변화를 감지할 수 있습니다. 특히 흡연자나 폐암 가족력이 있는 경우 정기적인 저선량 CT 검사가 권장됩니다.
- 가래 검사: 가래를 채취하여 암세포가 있는지 분석하는 방법입니다. 간단하지만 민감도가 낮아 단독으로 사용하기보다는 다른 검사와 함께 병행하는 것이 좋습니다.
- 기관지 내시경 검사: 내시경을 통해 폐와 기관지를 직접 관찰하며, 필요시 조직을 채취하여 검사합니다. 암의 위치와 상태를 정확하게 확인할 수 있어 진단에 큰 도움이 됩니다.
3. 암 환자를 위한 의료비 지원 제도



폐암을 비롯한 암 치료는 장기적이고 고비용이 소요되기 때문에 환자와 가족에게 경제적 부담이 큽니다. 이러한 부담을 덜어주기 위해 한국에서는 암 환자들을 위한 다양한 의료비 지원 제도가 마련되어 있습니다.
암 환자 산정특례제도 상세 | 간병비 보조기기 구입비 지원 | 산정특례 신청 및 재등록 방법 등
- 건강보험 적용 확대
한국의 건강보험은 암 환자 치료비 경감에 중요한 역할을 하고 있습니다. 항암 치료, 입원, 검사 등의 의료비에 대해 본인 부담금을 낮춰 환자들의 경제적 부담을 줄일 수 있습니다. - 중증질환 산정특례
중증질환 산정특례는 암과 같은 중증 질환을 진단받은 환자가 본인 부담금을 5%로 경감받을 수 있는 제도입니다. 위암 진단 후 5년간 적용되며, 치료 과정에서 경제적 부담을 크게 덜어주는 효과가 있습니다. - 국민건강보험공단의 지원 프로그램
국민건강보험공단에서는 저소득층 암 환자를 위해 추가적인 치료비 지원 프로그램을 운영하고 있습니다. 소득 수준에 따라 일부 의료비가 추가 지원되며, 경제적 어려움으로 치료를 포기하지 않도록 돕고 있습니다. - 지자체별 지원 프로그램
각 지방자치단체에서도 암 환자를 위한 다양한 의료비 지원 프로그램을 운영 중입니다. 지역별로 지원 내용이 다르므로 거주지의 시청이나 구청에 문의해 적절한 혜택을 받을 수 있습니다. - 사회복지 서비스
한국암재단과 같은 사회복지 단체는 저소득층 암 환자를 위한 의료비 및 생활 지원 프로그램을 제공하고 있습니다. 또한 심리 상담 서비스를 통해 암 환자와 가족의 정신적 건강을 지원하고 있습니다.
폐암은 조기에 발견할수록 생존율이 높아지기 때문에, 초기 증상을 인지하고 정기 검진을 통해 조기에 발견하는 것이 중요합니다. 특히, 흡연자나 폐암 가족력이 있는 사람은 정기적인 검사를 통해 폐암 위험을 미리 확인하고 예방하는 것이 필요합니다.
폐암은 초기 증상이 뚜렷하지 않아 조기 발견이 어려운 경우가 많지만, 정기 검진과 초기 증상에 대한 인식을 통해 예방할 수 있습니다. 폐암의 위험을 줄이기 위해서는 금연, 건강한 생활습관 유지, 정기적인 검진을 통해 건강을 지키는 것이 중요합니다.









'일상다반사' 카테고리의 다른 글
| 대동맥판막 협착증 수술비용 그리고 대동맥판막 치환술 지원 혜택 (1) | 2024.11.12 |
|---|---|
| 녹내장 초기증상과 녹내장 수술 지원 (0) | 2024.11.12 |
| 대장암 초기증상 대장암 3기 생존율 (5) | 2024.11.10 |
| 위암 초기증상 혜택 (4) | 2024.11.09 |
| 췌장암 검사방법 췌장암 의료비 지원제도 (4) | 2024.11.08 |