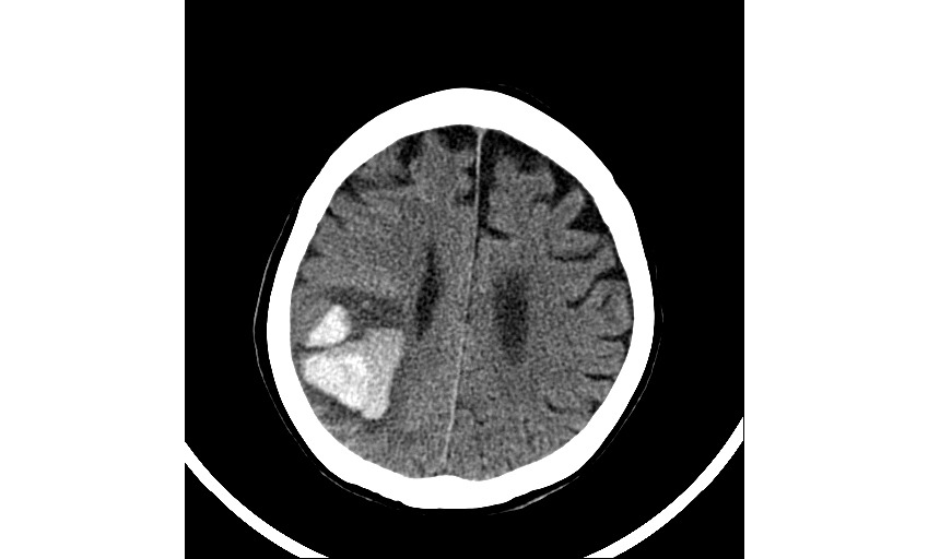
뇌내출혈은 뇌혈관이 파열되어 뇌조직 내에 출혈이 발생하는 심각한 질환으로, 신속한 치료가 이루어지지 않으면 생명에 위협을 줄 수 있습니다. 또한, 치료 후에도 다양한 후유증이 남을 수 있어 지속적인 관리와 재활이 필요합니다. 건강보험공단에서는 이러한 중증 뇌혈관질환 환자들을 위해 산정특례 제도를 통해 의료비 부담을 경감할 수 있는 혜택을 제공하고 있습니다. 이번 글에서는 뇌내출혈의 후유증, 수술적 치료 방법, 그리고 산정특례 제도의 적용에 대해 자세히 알아보겠습니다.



1. 뇌내출혈의 주요 후유증



뇌내출혈은 출혈의 위치와 정도에 따라 다양한 후유증을 남길 수 있습니다. 주요 후유증은 다음과 같습니다:
- 운동 기능 장애: 편마비, 사지 마비 등 운동 기능의 저하가 발생할 수 있습니다.
- 언어 장애: 말을 이해하거나 표현하는 데 어려움을 겪을 수 있습니다.
- 인지 기능 저하: 기억력 감퇴, 판단력 저하 등이 나타날 수 있습니다.
- 시각 및 청각 장애: 시야 결손, 청력 손실 등이 발생할 수 있습니다.
- 정서적 변화: 우울증, 불안감, 성격 변화 등이 나타날 수 있습니다.
이러한 후유증은 개인마다 다르게 나타나며, 재활 치료를 통해 일부 개선이 가능합니다.
2. 뇌내출혈의 수술적 치료 방법
뇌내출혈의 치료는 출혈의 원인, 위치, 크기, 환자의 상태 등에 따라 결정됩니다. 수술적 치료는 다음과 같은 경우에 고려됩니다:
- 출혈량이 많아 뇌압 상승이 우려되는 경우
- 출혈로 인해 신경학적 증상이 급격히 악화되는 경우
- 출혈 부위가 수술로 접근 가능한 위치에 있는 경우
주요 수술적 치료 방법은 다음과 같습니다:
2.1 혈종 제거를 위한 개두술
두개골을 열어 출혈로 인한 혈종을 제거하는 수술입니다. 이를 통해 뇌압을 낮추고 손상된 뇌조직의 회복을 도모합니다.
장점:
- 출혈을 직접 제거하여 뇌조직의 손상을 최소화할 수 있습니다.
단점:
- 침습적인 수술로 인한 합병증의 위험이 있습니다.
2.2 최소 침습적 수술
내시경을 이용하여 작은 절개를 통해 혈종을 제거하는 방법으로, 회복 기간이 짧고 합병증의 위험이 적습니다.
장점:
- 수술 후 회복이 빠르고, 흉터가 적습니다.
단점:
- 모든 환자에게 적용할 수 없으며, 기술적인 한계가 있을 수 있습니다.
3. 산정특례 제도를 통한 의료비 지원
뇌내출혈과 같은 중증 뇌혈관질환 환자들은 고가의 치료비로 인해 경제적 부담이 클 수 있습니다. 이를 경감하기 위해 한국에서는 산정특례 제도를 운영하고 있습니다.
3.1 산정특례 제도란?
산정특례 제도는 중증질환자에게 본인 부담 의료비를 경감해주는 제도로, 뇌혈관질환, 암, 희귀질환 등이 대상입니다.
3.2 적용 대상
뇌내출혈 환자가 고시에서 정한 수술을 받은 경우, 수술일을 포함하여 최대 30일간 산정특례 적용을 받을 수 있습니다. 또한, 수술을 받지 않았더라도 급성기에 입원하여 진료를 받은 중증 뇌출혈 환자도 적용 대상이 될 수 있습니다.
뇌내출혈은 신속한 치료와 지속적인 관리가 필요한 질환입니다. 산정특례 제도를 활용하여 경제적 부담을 줄이고, 정기적인 검진과 재활 치료를 통해 후유증을 최소화하는 노력이 중요합니다. 이를 통해 삶의 질을 향상시킬 수 있습니다.
'일상다반사' 카테고리의 다른 글
| 심장판막증 수술비용[심장판막증 산정특례 수술비용 혜택] (0) | 2024.12.08 |
|---|---|
| 뇌 동정맥 기형 뇌출혈 원인 수술 치료비지원 (3) | 2024.12.06 |
| 심장판막증 증상 정부지원: 판막증 주요증상 (0) | 2024.12.06 |
| 당뇨 합병증 종류[당뇨 초기증상] (1) | 2024.12.05 |
| 당뇨 식단[당뇨 식단표 1주일]:당뇨에 좋은 음식 10가지 (1) | 2024.12.05 |