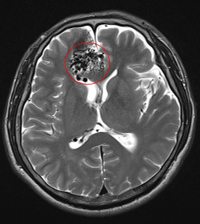
뇌 동정맥 기형(AVM)은 뇌의 동맥과 정맥이 비정상적으로 연결되어 혈류의 이상을 초래하는 선천성 질환입니다. 이러한 기형은 뇌출혈의 주요 원인 중 하나로, 조기에 발견하고 적절한 치료를 받지 않으면 심각한 신경학적 손상이나 생명 위협을 초래할 수 있습니다. 건강보험공단에서는 이러한 중증 뇌혈관질환 환자들을 위해 산정특례 제도를 통해 의료비 부담을 경감할 수 있는 혜택을 제공하고 있습니다. 이번 글에서는 뇌 동정맥 기형으로 인한 뇌출혈, 수술적 치료 방법, 그리고 산정특례 제도의 적용에 대해 자세히 알아보겠습니다.



1. 뇌 동정맥 기형으로 인한 뇌출혈
뇌 동정맥 기형은 혈관벽이 약해져 있어 출혈의 위험이 높습니다. 특히, 다음과 같은 증상이 나타날 수 있습니다:
- 갑작스러운 심한 두통: 출혈로 인해 갑작스럽고 극심한 두통이 발생할 수 있습니다.
- 신경학적 증상: 출혈 부위에 따라 운동 마비, 감각 이상, 언어 장애 등이 나타날 수 있습니다.
- 의식 저하: 심한 경우 의식 소실이나 혼수상태에 이를 수 있습니다.
이러한 증상이 나타날 경우 즉시 병원을 방문하여 정밀 검사를 받아야 합니다.
2. 뇌 동정맥 기형의 수술적 치료 방법



뇌 동정맥 기형의 치료는 기형의 크기, 위치, 출혈 여부 등에 따라 결정됩니다. 주요 수술적 치료 방법은 다음과 같습니다:
2.1 뇌동정맥 기형적출술
개두술을 통해 기형 부위를 직접 제거하는 수술입니다. 이를 통해 출혈의 위험을 근본적으로 제거할 수 있습니다.
장점:
- 기형을 완전히 제거하여 재발의 위험이 낮습니다.
단점:
- 수술 부위에 따라 신경학적 손상의 위험이 있을 수 있습니다.
2.2 혈관 내 색전술
카테터를 이용하여 기형 부위에 접착제나 코일을 삽입하여 혈류를 차단하는 방법입니다. 주로 수술 전 출혈 위험을 감소시키기 위해 시행됩니다.
장점:
- 비교적 덜 침습적이며 회복 기간이 짧습니다.
단점:
- 완전한 치료를 위해 추가적인 수술이 필요할 수 있습니다.
2.3 방사선 수술
감마나이프나 사이버나이프를 이용하여 고강도의 방사선을 기형 부위에 조사하여 혈관을 폐쇄시키는 방법입니다.
장점:
- 비침습적이며 입원이 필요하지 않습니다.
단점:
- 효과가 나타나기까지 수개월에서 수년이 걸릴 수 있습니다.
3. 산정특례 제도를 통한 의료비 지원
뇌 동정맥 기형으로 인한 뇌출혈 환자들은 고가의 치료비로 인해 경제적 부담이 클 수 있습니다. 이를 경감하기 위해 한국에서는 산정특례 제도를 운영하고 있습니다.
3.1 산정특례 제도란?
산정특례 제도는 중증질환자에게 본인 부담 의료비를 경감해주는 제도로, 뇌혈관질환, 암, 희귀질환 등이 대상입니다.
3.2 적용 대상
뇌 동정맥 기형으로 인한 뇌출혈 환자가 [별첨 1]에 해당하는 수술을 받은 경우, 수술일을 포함하여 최대 30일간 산정특례 적용을 받을 수 있습니다. 또한, 수술을 받지 않았더라도 급성기에 입원하여 진료를 받은 중증 뇌출혈 환자도 적용 대상이 될 수 있습니다.
뇌 동정맥 기형으로 인한 뇌출혈은 신속한 치료와 지속적인 관리가 필요한 질환입니다. 산정특례 제도를 활용하여 경제적 부담을 줄이고, 정기적인 검진과 재활 치료를 통해 후유증을 최소화하는 노력이 중요합니다. 이를 통해 삶의 질을 향상시킬 수 있습니다.
'일상다반사' 카테고리의 다른 글
| 죽상경화증 질병코드[죽상경화증 산정특례 코드] (0) | 2024.12.09 |
|---|---|
| 심장판막증 수술비용[심장판막증 산정특례 수술비용 혜택] (0) | 2024.12.08 |
| 뇌내출혈 후유증 수술 산정특례제도 (3) | 2024.12.06 |
| 심장판막증 증상 정부지원: 판막증 주요증상 (0) | 2024.12.06 |
| 당뇨 합병증 종류[당뇨 초기증상] (1) | 2024.12.05 |